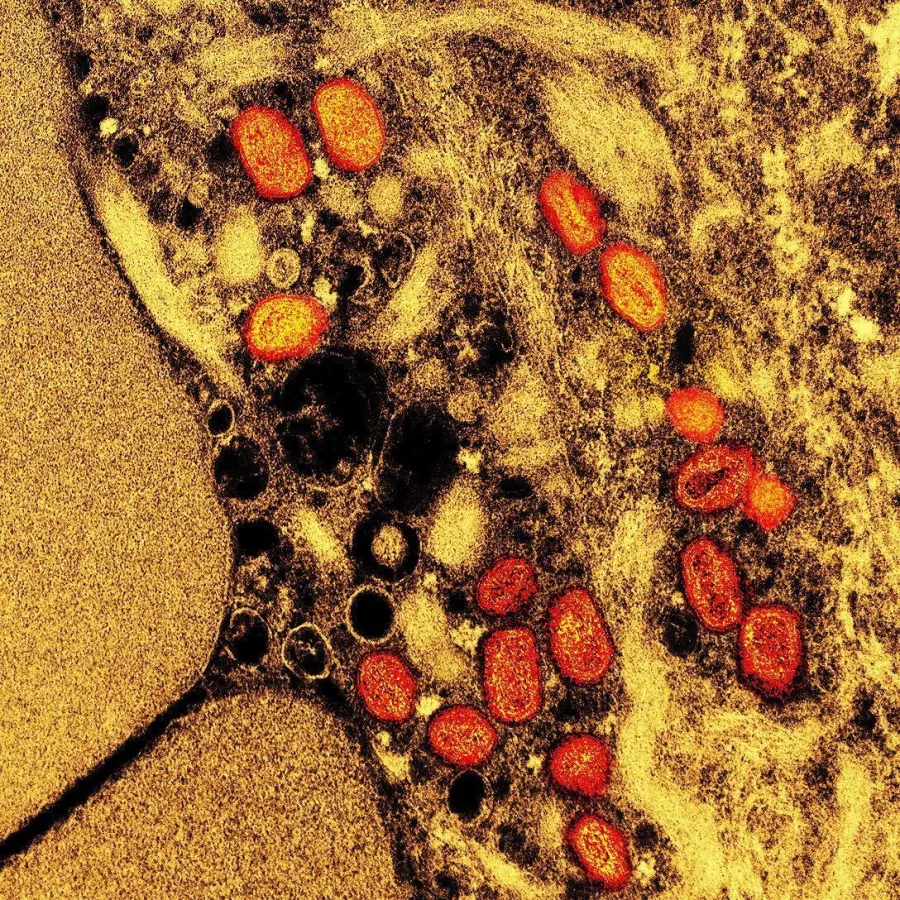
Estudo mostra que antiviral mais usado contra Mpox não é eficaz

NIAID/Divulgação via REUTERS

Recentemente, o Brasil atingiu a marca de 149 casos registrados de mpox (entre confirmados e prováveis) nos primeiros meses de 2026

Pexels

Agora, a doença passa a gerar maior preocupação após o principal medicamento utilizado contra o grupo pertencente ao vírus causador da doença não apresentar resultados esperados

Pexels

O novo ensaio clínico foi publicado no New England Journal of Medicine e denominado de STOMP

Pexels

No estudo, o uso do tecovirimat não conseguiu reduzir o tempo de cicatrização das lesões, diminuir a dor dos pacientes nem acelerar a eliminação do vírus do organismo

Pexels

Esses resultados enfraquecem uma das principais alternativas terapêuticas disponíveis justamente em um momento em que o cenário se torna ainda mais incerto

Pexels

No Brasil, o estado de São Paulo lidera isoladamente as estatísticas, com 93 confirmações, o que equivale a aproximadamente 66% do total nacional. O Rio de Janeiro aparece na sequência com 18 casos, seguido por Roraima, com 11

Pexels

A pesquisa que revela o resultado preocupante em relação ao principal medicamento no combate à doença incluiu 344 adultos imunocompetentes com diagnóstico de mpox do clado II, sendo a maioria com sintomas leves ou moderados

Pexels

  Pexels

leia mais em